Costi faccette dentali a Roma: la verità sui prezzi e cosa paghi davvero

IN SINTESI: COSA SCOPRIRAI IN QUESTO ARTICOLO Non esiste un prezzo unico: Il costo varia drasticamente in base al materiale (resina vs ceramica) e alla lavorazione (standard vs artigianale). Il rischio del low-cost: Risparmiare oggi spesso significa avere denti che ingialliscono o si staccano dopo 2-3 anni. La filosofia Falchetti: A San Giovanni non usiamo […]
Faccette per denti bianchi a Roma San Giovanni: la soluzione definitiva quando lo sbiancamento non basta

Molti pazienti entrano nel mio studio, lo Studio Dentistico Falchetti a Roma San Giovanni, con un desiderio molto semplice: “Dottoressa, voglio i denti bianchi. Davvero bianchi”. Spesso hanno già provato di tutto: dentifrici miracolosi, strisce adesive, o sedute di sbiancamento dentale che però, dopo qualche mese, perdono il loro effetto o non riescono a coprire […]
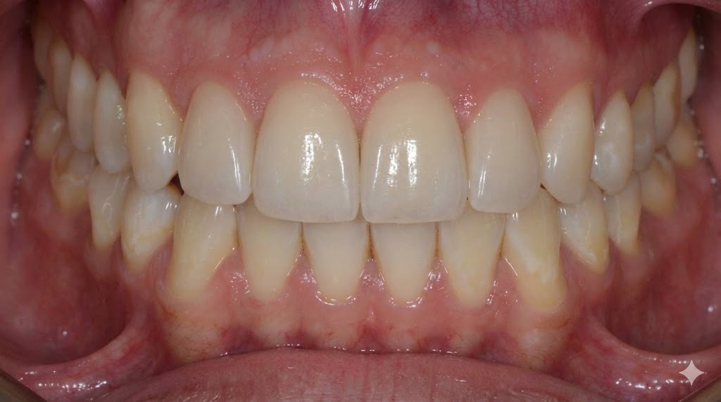
Faccette dentali prima e dopo: 5 casi reali di trasformazione del sorriso a Roma

Quando si parla di estetica del sorriso, spesso le parole non bastano. Per capire davvero il potenziale di un trattamento, bisogna vederlo con i propri occhi. Cercare online “faccette dentali prima e dopo” è il primo passo che molti pazienti compiono per immaginare come potrebbe cambiare il proprio volto, correggendo difetti che magari li mettono […]
Faccette dentali in silicone: esistono davvero? Facciamo chiarezza sui materiali

Navigando online alla ricerca di soluzioni per migliorare il sorriso, è facile imbattersi nel termine “faccette dentali in silicone”. Spesso questa ricerca nasce dal desiderio di trovare un’opzione economica, rimovibile o “morbida” per coprire denti imperfetti senza affrontare un trattamento invasivo. Tuttavia, è fondamentale fare una distinzione netta tra prodotti commerciali “fai da te” e […]
Faccette dentali per incisivi: correggere difetti e fratture dei denti frontali

Gli incisivi sono i protagonisti indiscussi del nostro sorriso. Sono i primi denti che mostriamo quando parliamo o ridiamo e, proprio per la loro posizione centrale, sono anche i più esposti a traumi, usura e giudizi estetici. Spesso riceviamo pazienti che sono soddisfatti della loro dentatura in generale, ma che vivono con disagio un difetto […]
Impianto dentale con ponte (ponte su impianti): la soluzione ideale per sostituire più denti

Quando mancano più denti vicini, molti pazienti si trovano di fronte a un dilemma: “Dovrò mettere un impianto per ogni singolo dente mancante?”. La risposta, fortunatamente, è no. Esiste una soluzione ingegnosa, stabile e altamente estetica che combina il meglio delle due tecniche: l’impianto dentale con ponte, più correttamente definito ponte su impianti. Questa soluzione […]
Durata degli impianti dentali: quanto durano e da cosa dipende?

Una delle prime e più importanti domande che un paziente pone prima di un intervento di implantologia è: “Va bene, ma quanto dura un impianto dentale?“. È un dubbio legittimo, perché si tratta di un investimento importante per la propria salute. La risposta breve è molto incoraggiante: un impianto dentale, se inserito correttamente e mantenuto […]
Frenulo corto (linguale o labiale): quando intervenire con il laser (Frenulectomia)

Ti è mai capitato di notare che tuo figlio ha un movimento limitato della lingua? O, da adulto, hai uno spazio tra gli incisivi (diastema) che l’apparecchio non riesce a chiudere? ancora, noti che la gengiva sugli incisivi inferiori sembra “ritirarsi”? Spesso, la causa di tutte queste condizioni è la stessa: un frenulo corto. Un […]
Preparazione dei denti per le faccette: cosa significa, se fa male e perché è fondamentale

Quando si decide di trasformare il proprio sorriso con le faccette dentali, una delle fasi che genera più dubbi e ansie è la preparazione dei denti. Il timore più comune è quello di dover “limare” o “rovinare” i propri denti sani in modo irreversibile. È una preoccupazione legittima, spesso alimentata da informazioni errate. In realtà, […]
Faccette dentali e diastema: la soluzione estetica per chiudere lo spazio tra i denti

Avere un diastema, il termine tecnico per descrivere lo spazio tra due denti (più comunemente gli incisivi centrali), è una caratteristica che per alcuni è un segno distintivo, ma per molti altri è un inestetismo che crea disagio nel sorridere. Una delle domande più frequenti che riceviamo nel nostro studio è: “Si può chiudere lo […]